Smile Designing – The Secret Behind a Confident, Radiant You!
Have you ever looked at someone’s smile and thought — Wow, that’s perfect!
Well, that’s not just good genetics or luck. It’s often the magic of Smile Designing — a dental art form that’s changing lives and faces every day at Dr. Gowd’s Dental Clinics.
What Exactly Is Cost of Smile designing in hyderabad ? Science Meets Art.
It’s the process of creating a smile that not only looks beautiful but also fits you perfectly.
It involves carefully studying your facial features, tooth structure, gum health, and even your personality to design a smile that enhances your natural beauty and boosts your confidence.
It’s not just about whiter or straighter teeth — it’s about creating harmony between your face, lips, teeth, and gums, ensuring your smile looks natural, healthy, and radiant.

A Real Case Story
An actor visited DR Gowd’s seeking a smile makeover. He initially had crowns that were yellowish and didn’t match his facial aesthetics. His smile appeared dull and lacked visibility on screen.
After a detailed Smile Designing process over three months, he left with a radiant smile — perfectly aligned with his facial contours, enhancing his on-screen presence and confidence.
What Can You Expect?
When you choose to undergo Smile Designing at Dr. Gowd’s Dental Clinics, you can expect a transformation that enhances your overall appearance and boosts confidence.
We focus on creating smiles that naturally complement your facial features and reflect your individuality.
You can expect:
- Well-aligned, Straight teeth
- Improved tooth shape, size, and shade
- Enhanced teeth Visibility and overall facial appearance
- A natural, symmetrical smile in harmony with your face
- A long-lasting, Confident Makeover

The Art Behind Smile Designing
Smile Designing combines both facial and dental components:
1. Facial Components
The shape of the face plays a major role in determining the ideal tooth form:
- Square
- Tapering
- Square-tapering
- Ovoid
The facial profile also influences tooth morphology:
- Straight – add pics

- Convex
- Concave
Tooth size, shape, and alignment are carefully customized to match these characteristics, ensuring a natural harmony between the face and smile.
2. Dental Components
The dental composition involves several key elements:
Tooth Components
- Dental midline
- Tooth dimensions and proportions
- Incisal length and embrasures
- Axial inclinations
- Interdental contact area (ICA) and point (ICP)
- Symmetry and balance
- Consideration of sex, personality, and age
Soft Tissue Components
- Gingival (gum) health
- Gingival levels and harmony
- Interdental embrasures
- Smile line
A healthy, harmonious relationship between teeth and gums is essential for an attractive, natural-looking smile.
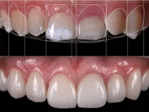
Did You Know About the Golden Ratio?
The Golden Ratio (1.618:1) is a mathematical principle that has been used for centuries in art and architecture — and it applies to dentistry too!
In Smile Designing, this ratio helps determine the most aesthetically pleasing proportions between the width and length of the teeth, ensuring your smile looks naturally balanced and visually appeal.
Smile Designing is more than cosmetic enhancement — it’s a customized blend of science, art, and facial harmony. It’s about creating a smile that not only looks beautiful but also feels natural and functions perfectly.
At Dr. Gowd’s Dental Clinic, we believe that every smile is unique — and our goal is to design yours to perfection.
FAQs About Smile Designing at Dr. Gowd’s Dental Clinics
1. What makes Smile Designing different from regular cosmetic dentistry?
Smile Designing is a comprehensive process that goes beyond basic cosmetic fixes like whitening or veneers. It combines facial analysis, digital simulations, and personalized planning to create a smile that suits your facial features, personality, and lifestyle. At Dr. Gowd’s Dental Clinics, our experts ensure that your new smile looks natural, symmetrical, and uniquely yours.
2. Is Smile Designing suitable for everyone?
Yes, Smile Designing can benefit anyone looking to improve the aesthetics, alignment, or harmony of their smile. Whether you have discolored, uneven, or misaligned teeth — or simply wish to enhance your smile’s appearance — our specialists at Dr. Gowd’s Dental Clinics will design a customized plan that fits your dental health, facial structure, and expectations.
3. How long does the Smile Designing process take?
The duration depends on the complexity of your case and the treatments involved. Minor aesthetic corrections may take a few days, while complete smile makeovers involving veneers, aligners, or gum reshaping may take a few weeks to a few months. At Dr. Gowd’s, we use Digital Smile Design (DSD) technology to preview your new smile and plan each phase precisely for efficient, predictable results.
4. Does Smile Designing look natural?
Absolutely. Modern Smile Designing focuses on facial harmony and proportion, not artificial perfection. Every element — tooth shape, shade, size, and gum contour — is carefully designed to match your facial aesthetics and expressions. Our goal at Dr. Gowd’s Dental Clinics is to ensure that your new smile enhances your natural beauty while maintaining full functionality and comfort.
5. What is the cost of Smile Designing at Dr. Gowd’s Dental Clinics?
The cost varies depending on the procedures involved, such as veneers, crowns, aligners, laser gum treatments, or digital smile design simulations. Basic smile designing may start around ₹5,000, while comprehensive makeovers can range from ₹50,000 to ₹2,00,000 or more. Every smile is unique, so the investment reflects the level of customization, materials, and technology used. You can book a consultation to receive a personalized cost estimate.
Ready to Transform Your Smile?
Book your personalized Smile Designing consultation today at Dr. Gowd’s Dental Clinics — where artistry meets precision.
📞 8886664790 | 🌐 www.drgowddental.com
Branches: Banjara Hills | Secunderabad | Hitech City